【重大発表】2026年初旬、ANBI歯科が東京・渋谷にグラン...
◆ www.haisha.com.au – General, Implant, Cosmetic & Invisalign Total Dental Care ◆ 長年にわたり、シドニー(ワー…
シドニーでの毎日、楽しんでいますか?
美しいビーチに、美味しいカフェ、充実したアクティビティ。
でも、海外生活で避けて通れない悩みといえば—
「医療機関の受診、特に歯医者さんが不安」ではないでしょうか?
英語で説明できる自信がない
痛いと言えずに我慢しそう
高額請求が怖い
結局、日本に帰るまで我慢してしまう…
そんな不安を抱える日本人の皆さまへ。
2003年から同じ場所で日本人の患者様を支え続けるANBIデンタルクリニックが、あなたのお悩みをすべて解決します。
ANBIシドニーの院長 Dr.キムは2003年の開院以来ずっと同じ場所で診療を続ける、信頼の“かかりつけ医”。
さらに、
元シドニー大学病院の臨床指導医
ANBI新宿(東新宿駅徒歩1分)の副院長
という経歴を持つ実力派。
しかも、当院の治療保証はシドニーと新宿の双方で適用可能。
「帰国の予定がある」「日本でも継続治療したい」そんな方でも安心の、国をまたいでつながる歯科サポート体制を整えています。
◆ www.haisha.com.au – General, Implant, Cosmetic & Invisalign Total Dental Care ◆
Dr.キム、女医のジョイス先生、日本人受付、日本人アシスタント。
すべて日本語で完結するから、
「ここだけ違和感が…」
「この前治療した部分が変な感じがする」
「しみるのが怖い」
といった細かなニュアンスまで、日本語のままストレスなく伝えられます。
まるで日本の歯医者さんにいるような安心感。
海外生活の不安を忘れるほどのリラックス空間をご用意しています。
◆ www.haisha.com.au – General, Implant, Cosmetic & Invisalign Total Dental Care ◆
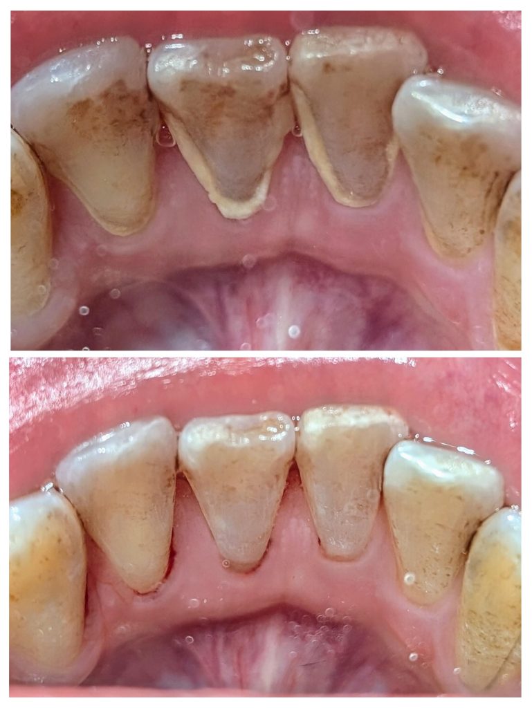
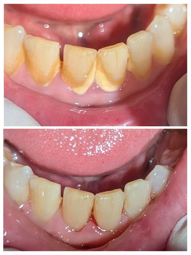
ANBIシドニーでは、ほとんどの治療にマイクロスコープを活用。
肉眼では見えない歯石や汚れをしっかり捉え、
歯茎に優しい
痛みが極めて少ない
効果が長持ち
という、ワンランク上のクリーニングを可能にしています。
これは一般的なクリニックではまだ珍しい“高度機器”。
せっかくシドニーでケアするなら、“精密ケア”できれいに、そして長く健康に。
毎日のコーヒー、紅茶、ワイン、喫煙…
歯磨きでは落ちない頑固な汚れは、口臭の原因にも。
ホワイトニングではありません。
プロのスケーリングだけで、この輝き。
舌で触れた時の“キュッ、ツルッ”とした感覚は感動ものです。

「歯石取り=痛い」というイメージ。
ANBIではその概念を覆します。
繊細な日本人の感覚に合わせた調整
超音波機器と手用器具の最適な使い分け
必要であれば表面麻酔も対応
“痛みの少ない治療”にこだわり続けるのは、開院22年以上の経験と技術があるからこそ。
当院は World Tower(ワールドタワー)11階。
タウンホール駅・ミュージアム駅から徒歩数分。
仕事帰り、学校帰り、ショッピングの合間でも通えます。
立地の良さは、定期ケア継続の強い味方です。
ANBIは、海外生活で頑張るあなたの“かかりつけ歯科”として、
シドニーでも、日本でもサポートできる唯一のクリニックです。
「最近歯の黄ばみが気になる」
「口の中を一度スッキリさせたい」
「英語が不安で歯医者を避けていた」
そんな方は、ぜひ一度ご体験ください。
スタッフ一同、日本語でのご予約をお待ちしております。
住所: Suite 1104, Level 11, World Tower, 87-89 Liverpool St, Sydney
Web: haisha.com.au
ご予約: 日本語でOK!
◆ www.haisha.com.au – General, Implant, Cosmetic & Invisalign Total Dental Care ◆
Dr Knox Kim is Invisalign’s Diamond Invisalign Provider and Invisalign’s only Clinical consultant/ Speaker among General dentists in Australia
Top 6th in the world in Invisalign International Gallery, シドニー中心街Dental Clinic @World Tower院長
東京ANBI新宿歯科・矯正歯科副院長, シドニーと東京の両方で1,500症例以上のインビザライン治療実績
両クリニックで400人以上の患者を治療, オーストラリアの臨床医で唯一、インビザラインの症例レビューで世界ランキングトップ10入り, 2018-19
インビザラインオーストラリアの認定コースディレクター, インビザラインの公式講師
上海、杭州、ソウル、東京、大阪、名古屋、ラスベガス、オーストラリア・ニュージーランドの主要都市で講演を行う。
#straightyourteethwithoutbraces #invisalign #braces #sydneydentist#dentalclinicatworldtower #cosmetic #bestdentist #CBD luxury dentist #インビザライン #シドニー歯科 #歯医者 #歯科矯正 #日本語歯医者 #海外歯科#オーストラリア #インビザラインダイヤモンドプロバイダー#隐适美#牙科诊所#中文#牙医
◆ www.haisha.com.au – General, Implant, Cosmetic & Invisalign Total Dental Care ◆ 長年にわたり、シドニー(ワー…
現在シドニーでDiploma of Early Childhood Education and Careを受講中の日本人留学生の方へ 卒業後のビザプランについて悩ん…