⚫️子どものなかなか抜けない乳歯は、将来のきれいな歯並びのた...
*当院は、診察時間内であれば、急な歯痛の治療にもかなり対応しています。腕には自信あり。当日でもまずは日本語ラインか歯科…

ふとした時に鏡を見て、歯の黄ばみが気になったことがありませんか? 毎日歯磨きをしているのに、前より黄ばんでいる気がすると不思議ですよね。
永久歯は完全に真っ白ではなく通常、黄色っぽく見えます。歯の外側のエナメル質は薄く内側にある象牙質は厚いため、象牙質の色味が歯の表面に表れやすいのです。また、そこに着色成分(ステイン)が付着したり、初期の虫歯によって歯のエナメル質がわずかに溶け出して濁ったりすることも歯が黄ばんで見える原因となります。
こうした黄ばみは、歯磨きなどのセルフケアだけでは落としきることが難しいもの。ですが、歯科医院の歯のクリーニングなら、歯科専用の機材や薬剤を使用して着色原因を隅々まで取り除くことができるので、黄ばみも改善します。
その歯のクリーニングの中でも、スケーラーという専用の器具を使用して歯の表面に付いた着色、歯垢や歯石を取り除くのが、スケーリング。着色の除去はもちろん、虫歯や歯周病、口臭の予防にもつながり、口の中を衛生的に保つ効果があります。
今回は、シドニーシティで20年以上の実績をもつ「青山デンタルクリニック」から、歯のスケーリングの重要性についてご紹介!
同院には日本語堪能なキム医院長、日本人のオーラルヘルスセラピストとスタッフが多数在籍しているため、予約時からカウンセリング、治療、アフターケアまで、すべて日本語でOK。定期的な歯のクリーニングのためのかかりつけ医としても、地元シドニーの人々に愛されています。加えて「歯医者さんが初めて」という方でも、予防歯科、虫歯治療、審美歯科、インプラント、歯列矯正、小児歯科と、さまざまな歯のトラブルに対応しているので、日豪どちらからの問い合わせにも日本語でわかりやすく答えてもらえます。
スケーリングは、主に歯垢や歯石を除去する治療のこと。
厚生労働省からは、「歯に付着しているプラークと歯石を専用の器具で除去すること。歯科医院で定期的に除去することが望ましい。歯についているプラーク(歯垢)と歯石をとることをスケーリング(歯石除去)といいます。歯石は、下あごの前歯の裏と上奥歯の頬側につきやすいといわれています」と説明されています。
そもそも「なぜスケーリングが必要なのか」知らない方も多いのではないでしょうか。
大人は毎日、歯垢を落とすために歯磨きをしていますが、さまざまな要因が重なると、どうしても歯垢の磨き残しが蓄積されていきます。浴槽に溜まった垢のように、歯垢も時間が経つと歯石へと変化してしまい、個人の歯磨きでは取り除けなくなってしまうのが、困ったところ。さらに歯石は表面がザラザラとしているので、より一層、歯垢が溜まりやすくなるという負のスパイラルが発生します。
そうした理由で、定期的なスケーリングで歯石の除去が必要になるというわけです。
特に、歯石は一度歯に付着すると、個人の歯磨きではなかなか取れません。そのため、プロ歯科医のスケーリングで取り除いてあげる必要があります。スケーリングをすることで、着色の除去、虫歯や歯周病、口臭の予防にもつながり、口の中をより衛生的に保つことができます。
歯石を取り除くと歯の表面が滑らかになり、汚れや細菌が付着しにくくなります。そのため、虫歯や歯周病などお口のトラブル予防となり、歯の黄ばみも防ぐことができるのです。
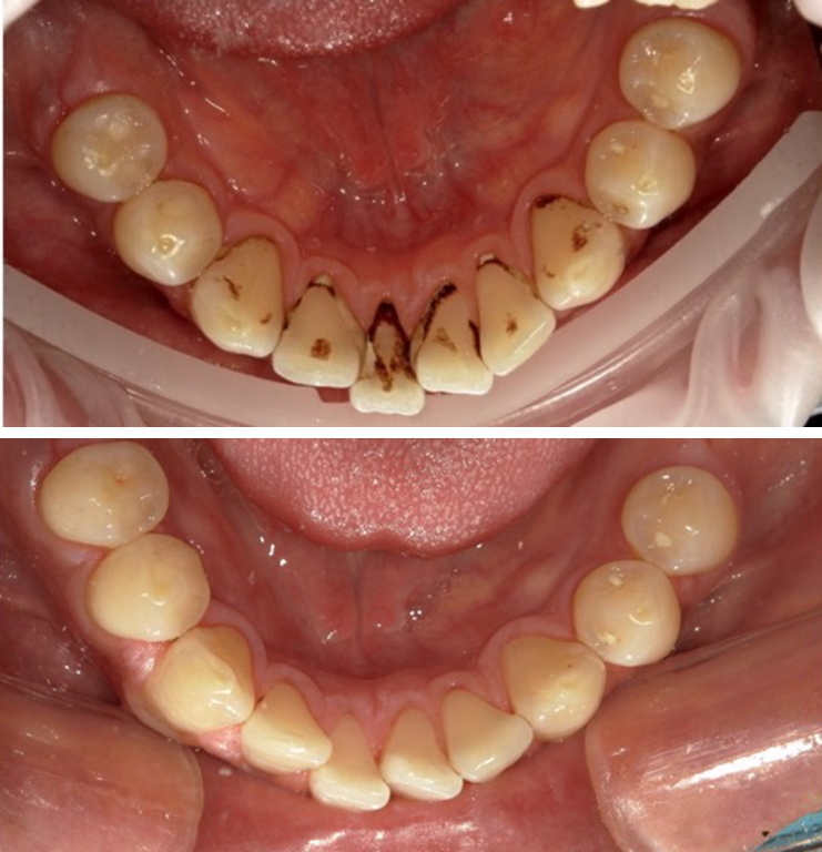
写真上:スケーリング前、写真下:スケーリング後
また、スケーリングをすることで、お口の臭いが軽減される効果が期待できます。歯垢や歯石そのものが、口臭の原因になるからです。ただし、あまりにも口臭が気になる場合、病気が隠れている可能性もあるので、不安であれば気軽に歯科に相談してみましょう。
スケーリングをした後、知覚過敏や出血が起きるケースがあります。これは歯石によって歯周病が進行し、歯の周りの骨がすでに溶けてしまっていることが原因。または歯石で覆われていた部分がスケーリングによって露出され、一時的に歯がしみる状態となっています。歯茎からの出血も、細菌の毒素によって炎症を起こしているためで、一時的なものがほとんど。そんな時はできるだけぬるま湯でうがいするなどして、直接の刺激を避けるようにしましょう。
また、歯茎が下がって見える、隙間が目立つなどのケースもあります。これは逆に、歯石を除去したことで腫れていた歯茎が引き締まる、という状態が改善した証拠です。歯茎が下がったように見えるのですが、実際は炎症が抑えられて本来の状態に戻っているのです。同様に、歯と歯の間の隙間が目立つように見えるのも、歯の間を覆うほど付着した歯石を除去したため、すっきりと開いて見えるのです。
ちなみに、歯石は唾液に含まれるミネラルによって歯垢が固まったものなので、お子様でもできることがあります。お子様の健康なお口を保つためには、最低でも3歳までには歯科検診を受けることをおすすめします。
お口のトラブルを見逃さないためには、定期検診も大事。初期虫歯の状態は痛みもなく、歯が濁る程度なので、気づかない方も多いそう。しかし、初期の段階で虫歯に気づけば、歯を削ることなく治療することが可能です。健康な口腔内を末永く保つために「青山デンタルクリニック」で、定期的な歯科検診とスクリーニングを受けましょう。
他のお口のトラブルの早期発見にもつながることから、半年に一度の定期検診が推奨されています。
「青山デンタルクリニック」では、予防歯科や、半年に一度推奨されている歯科検診にも、日本語で丁寧に指導。正しい歯磨きを指導するだけでなく、仕上げ磨きのやり方や食習慣へのアドバイスなども。
歯が痛くなってから治療するということを繰り返していると、歯の寿命が短くなり、結果的に歯を失うリスクが高まります。お子様も大人の方も、普段から予防歯科に通うことで、正しい歯磨き習慣を身につけられる他、虫歯や歯周病などを早期発見でき、短期かつ安価な歯科治療で完治させることができるため、末永く健康な口腔内を保てるようになります。
人生幾つになっても楽しく食事や会話を楽しめるよう、予防歯科として定期検診(チェックアップ)やスケーリングを受診しましょう。
【虫歯・歯周病・口臭予防に】歯石除去(スケーリング、フロライド塗布含む):190ドル
【虫歯チェック&クリーニング】歯科検診+歯石除去:290ドル
また、同院では米国シェアNo.1を誇るホワイトニングシステムの「ZOOM ホワイトニング」を採用したオフィスホワイトニングも好評提供中。電動歯ブラシのphilipsでも有名なメーカーで、非常に高いホワイトニング効果を誇る施術を受けることができます。
歯科検診、スクリーニングのご相談・ご予約の際には「JAMSを見ました!」とお伝えください。
電話:(02) 9269-0517(日本語対応)/(02) 9269-0514
Email:j.info@bestdentist.com.au(日本語対応)
シドニーシティのタウンホール駅から徒歩2分の位置にある、アクセス便利な「青山デンタルクリニック」。シドニーの人々のための予防歯科、虫歯治療、インプラント、審美歯科、小児歯科まで、さまざまなタイプの歯のトラブルに対応しています。
シドニーに住む日本人の人々にもやさしい、日本語対応のクリニックで、日本語堪能なキム歯科医院長をはじめ、ベテラン歯科医のジョイス女医、オーラルヘルスセラピストの田中先生と、日本語が話せる先生やスタッフが常駐し、電話予約から自分の歯や口内状態の詳しい診断説明、ちょっとした質問まで日本語で安心。オーストラリアで不安なことも気軽に質問できるところがポイントです。
「青山デンタルクリニック」のキム歯科医院長は、インビザラインの分野で世界的に著名な歯科医師。「Global Invisalign Gallery Peer Review Award 2014」世界6位に選出された、オーストラリアにおけるインビザラインの第一人者でもあり、オーストラリアとニュージーランドにおけるインビザラインの指導に公式歯科医として携わっています。専門家レベルの歯科医に、オーストラリア滞在中に歯列矯正治療を任せられる上、日本語での対話もできるから安心。さらに同院は、9割の症例に対して抜歯なしで歯並びを整えた実績もあり。
生涯付き合う歯のことだからこそ、コンサルテーションの中で歯科治療に関する不安や疑問を払拭し、最適なプランで自分の希望を叶えてもらえるベテラン歯科医と出逢いたいもの。歯科治療の良し悪しは、顎の骨格も含めた緻密・正確な診断が非常に重要なポイントなので、最初のコンサルテーションの段階で、きちんとした歯科治療プランを計画・実行できる、キム歯科医のように優秀な矯正歯科医を選ぶことが大事です。
インビザラインによる歯列矯正は、コースが5つ、料金は3,995ドル~10,995ドル(日本では平均 12,000~16,000ドルほど)と、日本のおよそ半分の治療費でインビザラインの治療をスタートすることができます(2023年現在)。日本人の患者さんからは「思ったより安かった!」という声も多々。
「青山デンタルクリニック」は、世界中で約1%の栄誉である「Invisalign BLACK DIAMOND PROVIDER」を受賞した、日本の医療法人スワン会、日本最大の歯科ネットワークの徳真会グループとのグローバル提携クリニックに認定されています。これらの提携関係により、 東京にある「ANBI歯科・矯正歯科」と提携しているため、「青山デンタルクリニック」で歯科矯正を始めると、日本帰国後もスムーズに治療を続けられるよう「ANBI歯科・矯正歯科」に連絡し、今後の相談や治療経過などを含め、正確に引き継ぎをしてもらえます。
新宿駅から徒歩2分とアクセスに便利な「ANBI歯科・矯正歯科」は、一般歯科とも連携し、幅広い歯科矯正治療に対応可能な歯科クリニック。通常、歯列矯正の治療期間は約6カ月~3年くらいですが、もしも治療の途中で日本帰国することになった場合も日本国内でシームレスに治療を続けることが可能です。
きちんとした歯列矯正プランを計画・実行できる優秀な矯正歯科医と治療をスタートし、帰国後は同じく歯列矯正を得意とする経験豊富な矯正担当医が在籍する「ANBI歯科・矯正歯科」なら、歯列矯正治療の継続も精神的にも安心かつ時間・費用の節約に。
「ANBI歯科・矯正歯科」について詳しくはこちら
20年以上シドニーシティ中心部で市民の歯の健康を守り続ける「青山デンタルクリニック」の魅力を、動画でサクッとご紹介。
歯並びを整える矯正歯科の中でも人気のインビザラインのレベルも世界トップクラス、かかりつけ医として利用する日本人家族も多数の歯科クリニックの雰囲気を覗いてみましょう。

内部リンク 最新記事

内部リンク
所在地:Suite 1104, Level 11, World Tower Commercial, 87-89 Liverpool Street, Sydney
営業時間:月〜金 9:00 – 18:00、土日祝休
電話:(02) 9269-0517(日本語対応)/ (02) 9269-0514
Email:j.info@bestdentist.com.au(日本語対応)


【キム先生が副院長・矯正顧問としてサポート!日本に提携クリニックがあります】
ANBI新宿歯科・矯正歯科
所在地:東京都新宿区新宿6-29-11 新宿イーストクロスタワー5F
詳細はこちら
メンバー一同こころよりお問い合わせ・ご相談をお待ちしております。
JAMS.TVへのご相談はこちらから*当院は、診察時間内であれば、急な歯痛の治療にもかなり対応しています。腕には自信あり。当日でもまずは日本語ラインか歯科…
【シドニーで愛される歯科医院】ジョイス先生のお誕生日!ANBIデンタルクリニックが選ばれる理由 ◆ www.haisha.com.au – Gener…
オーストラリアで生活しているとフィジオセラピー(Physiotherapy)という言葉を見たり、耳にしたりすることもよくあるかと…
🇯🇵 Japanese Head Spa in Sydney ZZZ HEAD SPA•JAPAN|Ultimo 日本式ヘッドスパ × 丁寧な技術で、 髪と頭皮を根本から整え…